소아과언니

  • 홈
  • 태그
  • 방명록

2025/12/14 1

🦠폐렴, 소아에서 왜 더 주의해야 할까요?

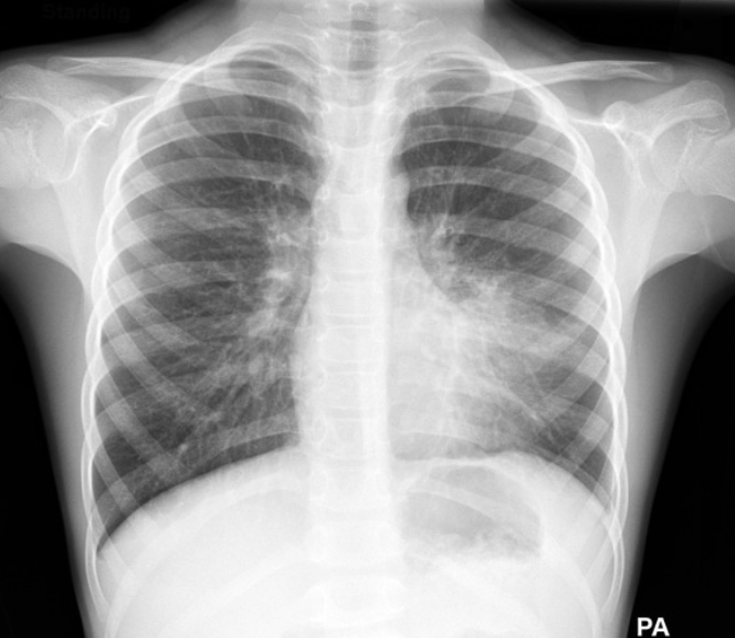
소아에서 흔하게 발생하는 폐렴, 단순 감기로 생각하고 넘기기엔 위험할 수 있습니다. 아이의 면역력과 폐 기능은 아직 미숙하기 때문에 폐렴에 쉽게 노출되고, 빠르게 진행될 수 있죠. 이번 글에서는 소아 폐렴의 증상부터 진단, 치료, 예방까지 보호자분들이 꼭 알아야 할 정보를 정리해드립니다.1. 🤒폐렴이란? 감기와 다른 점은?폐렴은 폐에 염증이 생긴 상태로, 바이러스나 세균, 마이코플라즈마 같은 다양한 병원체가 원인입니다.감기는 상기도(코, 인후) 감염이지만, 폐렴은 **하기도(기관지, 폐포)**를 침범해 호흡곤란이나 흉부통증이 나타날 수 있습니다.구분감기폐렴발열미열고열(39도 이상)기침마른기침심한 기침, 가래호흡정상빠르고 힘든 호흡식욕조금 감소많이 감소전신 상태비교적 양호처지고 지쳐 보임 2. 🫁폐렴의..

아이 질병과 진료 정보/호흡기 질환 2025.12.14
이전
1
다음
더보기
프로필사진

소아과언니

아이 키우는 그 마음, 저도 너무 잘 알아요. 소아청소년과 전문의이자, 한 아이의 엄마로서 진짜 도움이 되는 육아 정보만 따뜻하게 전해드릴게요. 동네 소아과언니처럼, 편하게 놀러오세요 😊

반응형
  • 분류 전체보기 N
    • 아이 질병과 진료 정보 N
      • 호흡기 질환 N
      • 소화기·영양 질환
      • 피부·알레르기 질환
      • 감염성 질환 및 예방
      • 응급 상황 & 자주 묻는 증상
    • 예방접종·건강검진 길라잡이
    • 아이 발달과 육아 팁
      • 0~5개월 아기
      • 6~11개월 아기
      • 12~23개월 아이
      • 2~3세 아이
      • 4~7세 유아기
    • 소아심장 진료노트
    • 아이 발달과 재활치료

Tag

신생아분유, 심장초음파, 선천성심질환, 수유 간격, 소아 고열, 수유문제, 아기 두상, 두상 비대칭, 소아폐렴구균, 분유추천, 수유 횟수, 소아 피부질환, 아기설사, 소아 발열, 소아심장질환, 소아심장, 아기흉통, 아기심장검사, 소아심초음파, rsv 예방접종,

최근글과 인기글

  • 최근글
  • 인기글

최근댓글

공지사항

페이스북 트위터 플러그인

  • Facebook
  • Twitter

Archives

Calendar

«   2025/12   »
일 월 화 수 목 금 토
1 2 3 4 5 6
7 8 9 10 11 12 13
14 15 16 17 18 19 20
21 22 23 24 25 26 27
28 29 30 31

방문자수Total

  • Today :
  • Yesterday :

Copyright © Kakao Corp. All rights reserved.

티스토리툴바